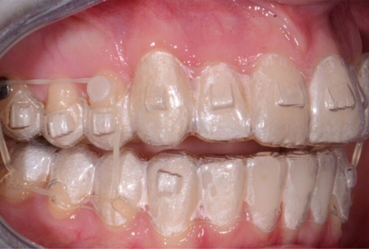
Clear aligner treatment depends on precision. Small mistakes in planning can lead to tooth movement that feels wrong and takes longer. Digital planning reduces those risks. You see a clear picture of your teeth, step by step, before treatment starts. ...
You watch your child grow and change fast. Teeth and jaws change just as fast. A family dentist helps you see what is normal and what needs quick care. You learn when baby teeth should come in, when they should ...
Tele dentistry changes how you reach care. You no longer need to wait weeks, sit in traffic, or miss work just to ask a simple question. You use your phone or computer to speak with a dentist from home. This ...
A wedding venue in Pembroke Pines offers everything needed to create an unforgettable celebration. From exquisite ceremony spaces to delicious catering, each detail is carefully crafted to ensure a seamless experience. Couples can expect diverse options, catering to different tastes ...
Your mouth shows early warning signs long before you feel pain. A Brentwood, CA dentist looks for these signs and steps in before small problems grow into permanent damage. Routine checkups do more than keep teeth clean. They protect your ...
Healthy teeth do not stay that way by accident. They need steady care between checkups, even when your mouth feels fine. You might brush and floss, yet still see sudden decay, tender gums, or cracked teeth. That can feel unfair. ...
Building a custom home is one of the most exciting yet complex endeavors a homeowner can undertake. In Calgary, the demand for personalized homes has grown steadily, and choosing the right custom builders is key to ensuring a smooth and ...
Understanding Dental Emergencies Dental emergencies can disrupt daily life and cause significant discomfort. They range from severe toothaches and infections to traumatic injuries. Prompt attention is crucial to alleviate pain, prevent complications, and restore dental health. Poor oral hygiene, accidents, ...
Understanding Senior Neck Pain As seniors age, neck pain becomes increasingly common and significantly impacts daily life. Understanding its root causes is crucial for effective management. Natural aging, injuries, and underlying medical conditions can contribute to neck pain in older ...
Unmatched performance and a ground-breaking camera system on the iPhone 15 Pro Max are sure to catch Oman by surprise. But this also begs the question: how can you negotiate the purchasing procedure and get the Pro Max of your ...

















